2023年9月3日,合肥京东方医院心脏中心团队韩继彪主任等(图1),采用目前国内唯一上市的进口产品MitraClip™系统,成功为一例功能性二尖瓣重度反流患者实施了经导管二尖瓣缘对缘修复手术。在麻醉科、超声影像科、心脏重症监护室、介入护理团队等多学科的共同协助配合下,手术顺利完成。患者术后效果显著,术毕即刻拔管。术后第二天可下地行走,目前恢复良好,拟近日出院。

病例介绍
患者男,76岁,以胸闷气喘入院,经过抗心衰药物治疗后心功能仍无明显改善,患者还有房室传导阻滞,超声科经心超检查后发现患者为功能性二尖瓣反流,全心腔增大;反流量主要在2区(图2);二尖瓣的后叶栓系较重(图3)导致二尖瓣关闭不全,所以返流量较多。心血管外科团队在充分评估后,决定为患者施行经导管二尖瓣微创介入修复手术。
手术过程
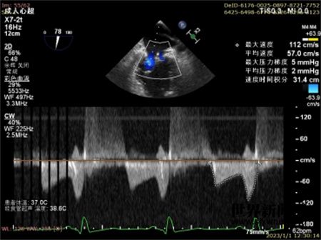
术前结合病变解剖特点,详细制定手术方案,拟用1枚XTR处理2区偏1区的返流,改善瓣叶对合情况。在经食道指导下穿刺房间隔(房间隔穿刺点距二尖瓣环4cm-5cm),(图4)通过超硬导丝置入24F可操控导引导管至左心房后,送入二尖瓣夹输送系统,在超声引导下调节二尖瓣夹输送系统指向二尖瓣口反流最明显处并能垂直活动,打开二尖瓣夹的双臂至120°,在经食道超声(左室流出道和心尖两腔心切面)指导下调整二尖瓣夹使之位于二尖瓣前后瓣叶的中间,实时3维超声外科视野切面下进一步调整二尖瓣夹至二尖瓣瓣环中间,并调整使两臂位于6点半和12点半;于心脏舒张期送入心室腔,缓慢回撤二尖瓣夹,并使2个瓣叶均落在二尖瓣夹的两个臂上,操作二尖瓣夹使之夹住2个瓣尖(图5),经食道超声反复确认二尖瓣反流明显减轻降至1+(图6),二尖瓣平均跨瓣压差仅2mmHg(图7)且组织桥稳定(图8),最终释放二尖瓣夹,退出二尖瓣夹输送系统和24F可操控导引导管,8字缝合股静脉。
整个手术过程历时2小时,解决了患者的二尖瓣反流,术后患者恢复迅速,次日即可下床活动,心脏功能明显改善。(欢迎现场索取视频了解)
术后总结
该患者为功能性二尖瓣重度反流,经多年药物治疗心功能仍进行性下降,病情危重。针对该患者,若实施传统外科开胸瓣膜手术创伤较大,恢复慢,综合考虑患者的年龄、病情和个人意愿,TEER手术是最佳选择。在成功植入1枚夹子后,最终患者二尖瓣返流由术前重度至轻度。总体来说,该类手术创伤小、恢复快,可明显减轻二尖瓣反流程度,缓解心衰症状,改善生活质量,降低住院率和死亡率。

此项技术的成功开展,标志着合肥京东方医院心脏中心团队在心脏微创手术领域再上新台阶,团队也将继续精进专业技术,以微创手术方式拯救更多复杂、严重的结构性心脏病患者。
专家简介

周炳凤
合肥京东方医院心血管学部主任、主任医师、教授、安徽医科大学硕士生导师。担任安徽省心血管委员会委员、安徽省起搏电生理协会委员、海峡两岸医药卫生交流协会心血管委员会委员、中国心脏重症专家委员会常务委员、中国医疗保健国际交流促进会重症医学分会常务委员、海医会安徽省心脏重症工作委员会主任委员、安徽省医师协会心脏重症专家委员会副主任委员、长三角心脏重症联盟副主席、长三角心肺救援联盟副理事长、中国医疗保健国际交流促进会理事。擅长危重症救治,大剂量去甲肾上腺素在心肺复苏中的应用、大剂量安定在电风暴中的应用有开创性意义。

韩继彪
合肥京东方医院心脏大血管外科执行主任,主诊医师,副主任医师。安徽医科大学兼职教授和皖南医学院兼职副教授、安徽省全科医学会心脏大血管分会常务委员、安徽省全科医学会胸外科分会委员、安徽省抗癌协会肺癌专业委员会委员、安徽省心脏大血管外科质控委员会委员、南京军区胸心血管外科学专业委员会委员。擅长心脏瓣膜病、冠心病、先天性心脏病、大血管夹层或大动脉瘤等外科手术;微创肺癌、食管癌、纵膈肿瘤、手汗症等外科治疗。获得省部级各类奖项5次,曾以第一作者发表核心期刊论文15篇。(记者 周淮民)



英国通过法案:2008年后出生者,终身不得购烟
这种水果维C含量是苹果的近6倍!富含膳食纤维和多种抗氧化剂,
天哪,怎么这么好看的颜值?世界人民都不淡定了......
高清大图|2024年中非合作论坛北京峰会即将开幕
组图:山水之约 玉龙之邀
组图:好戏连台!利川南坪第三届美食文化周开幕!
巴黎最美战袍出炉,东方审美该有的姿态值得收藏
铺就体育强国的路
快来收藏!巴黎奥运会开幕式精彩瞬间
贵州的风景拼图美翻天


宣汉职专综合高中:家访搭起“暖心桥”家长真情“两坚定”
习近平就维护和促进中东和平稳定提出4点主张
中国高铁清洁袋图案与窗外风景一样迷到你中国高铁清洁袋图案与窗外风景一样迷到你
对“环保老赖”要一督到底
阿勒泰的四季美到窒息!
日本政府被喊话:向中国道歉!
镇村联动 纪委护航——全面深化农村集体“三资”规范化管理
基辅发生“近年来最严重枪击案”
重要提醒:避免从这个机场入境美国!